Sign up for online consultation
- Kyiv, Pozniaky Osokorky, 14-А Anna Akhmatova Str.
- Obolon, 24-A Avenue of Volodimir Ivasjuk
- Solomenskyi District, 2/4 Levka Matsievycha Str.
- 8:00 - 21:00
Katshuk Diana
Dentist orthodontist in the network of dental clinics «Lumi-Dent» in Kiev, conducts an appointment at the department in Obolon district.
Education:
- Graduated from the Kyiv Medical University.
- Passed the internship at the Kyiv Medical University with a specialization «General Dentistry».
- Get specialization on «Orthodontics» at the Shupyk National Medical Academy of Postgraduate Education.
Specialization, types of activity:
- Prevention of dental anomalies in children;
- Orthodontic treatment of adolescents and adults with various types of braces;
- Orthodontic use of different types of braces;
- Orthodontic preparation of patients for orthopedic treatment, implantation;
- The use of microimplants as an additional element and support in orthodontic treatment.
Participated in seminars and courses:
2024
- «Biomechanics of microimplants in orthodontics»;
- «Retained teeth: management tactics, methods of controlled tooth movement»;
- «Effective movement in orthodontics: practical application of hinges and bends»;
2023
- «Orthodontic treatment with removal of premolars»;
- «Pediatric orthodontics from A to Z»;
- «Bends on arcs. Manual skills and biomechanics»;
- «Microimplants in orthodontics»;
- «Bends on arcs. Manual skills and biomechanics»;
2022
- «Orthodontic assistance in wartime conditions»;
- «Wire bending in daily practice. Bends of the first, second and third order»;
- «Functional orthodontics: clear protocols for diagnosis and treatment of TMJ pathology»;
- «Anatomy and pathology of TMJ on CT. Interpretation of received data»;
2021
- Speaker at the International Conference of Young Orthodontists with the topic;
- «Influence of early loss of deciduous teeth on dentoalveolar anomalies in children»;
- «Current issues in orthodontics»;
- «Fundamentals of Fixed Orthodontic Technique»;
- Scientific and Practical Conference on Orthodontics «Ukrainian Orthodontic School»;
- «Orthodontics yesterday, today, tomorrow»;
- Scientific and practical conference with international participation «Orthodontics today. Again, about the main thing»;
- «Topical issues of pediatric dentistry. Prophylaxis»;
2020
- «Interdisciplinary professional education of a dentist»;
- «Профессиональное развитие врача-стоматолога Professional development of a dentist»;
- Symposium on Pediatric Dentistry.
|
Dr. Katshuk Diana statistics |
2024 |
|
Number of consultations |
488 |
|
The number of braces installed by type |
|
|
Metal braces |
165 |
|
Low-profile metal braces |
168 |
|
Ceramic braces |
162 |
|
Sapphire (monocrystal) bracket system |
159 |
|
Braces Experience GC (metal). |
167 |
|
The number of corrections |
952 |
|
The number of installed children's plate's. |
194 |
|
Number of installed aligners. |
165 |
Video reviews about the Dr. Katshuk D.
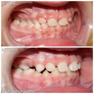
Examples of the works of Dr. Katshuk D.
Photo with Dr. Katshuk D.
Certificates
Date of publication: 28.10.2021
Date of edit: 02.01.2024
References about us
View More